图片库

非手术类

网站首页 >> 图片库 >> 非手术类 >> 正文

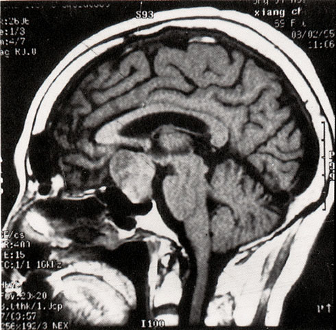
FH1061 脑垂体瘤(MRI)

发布日期:2017-08-01    作者:桂林医学院作者     来源:桂林医学院来源    

光盘检索编码 FH1061  函授作业图编号 1061
  图  名 脑垂体瘤(MRI)
  导  学 与图1061、1062、1063、1064、1065为同一患者
  讨 论 题 阅图分析