图片库

非手术类

网站首页 >> 图片库 >> 非手术类 >> 正文

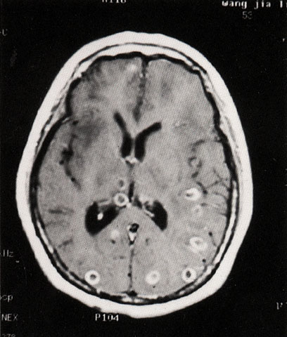
FH1050 脑囊虫病(MRI)

发布日期:2017-08-01    作者:桂林医学院作者     来源:桂林医学院来源    

光盘检索编码 FH1050  函授作业图编号 1050
  图  名 脑囊虫病(MRI)
  导  学 阅图分析
  讨 论 题 阅图分析